Konig Center
for Cosmetic & Comprehensive Dentistry
Led by Dr. Ronald Konig, DDS, FAGD, LVIF, FIAPA.
TMJ Specialist and Cosmetic Dentist in Houston, TX
Welcome To
Konig Center for Cosmetic
& Comprehensive Dentistry
“Our goal is to make a difference in your life”
At Konig Center for Cosmetic & Comprehensive Dentistry in Houston, TX, your dental care is never rushed or routineāitās personal, thoughtful, and centered on how your smile affects your comfort, confidence, and daily life. With a strong focus on TMJ health and carefully crafted cosmetic care, every treatment plan is shaped around you.

Meet Dr. Ronald Konig
Dr Konig is a Fellow of the Las Vegas Institute (LVI) and a Fellow of the International Association of Physiologic Aesthetics (IAPA). When patients visit our Houston dental office, they not only find options to improve and enhance their smiles, manage nonsurgical bite issues and treat TMJ pain, but also find a welcoming and comfortable environment and a team that will help them enjoy a lifetime of dental health. Our high standards of excellence and unique approach make your visit with our dentist and team an exceptional experience. Call us today to schedule your consultation and learn how we can improve your oral health and smile!
Weāve earned professional recognition for our commitment to exceptional dentistry and patient-first service.
Explore Our Dental Solutions
Our office is dedicated to helping you enjoy lifelong oral health. We offer a full range of dental services to meet your needs, including:
Patient Experiences
Read reviews from patients who found relief from jaw pain or discovered a smile that feels like them.
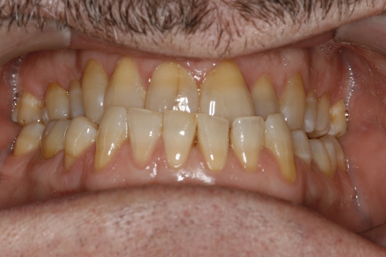
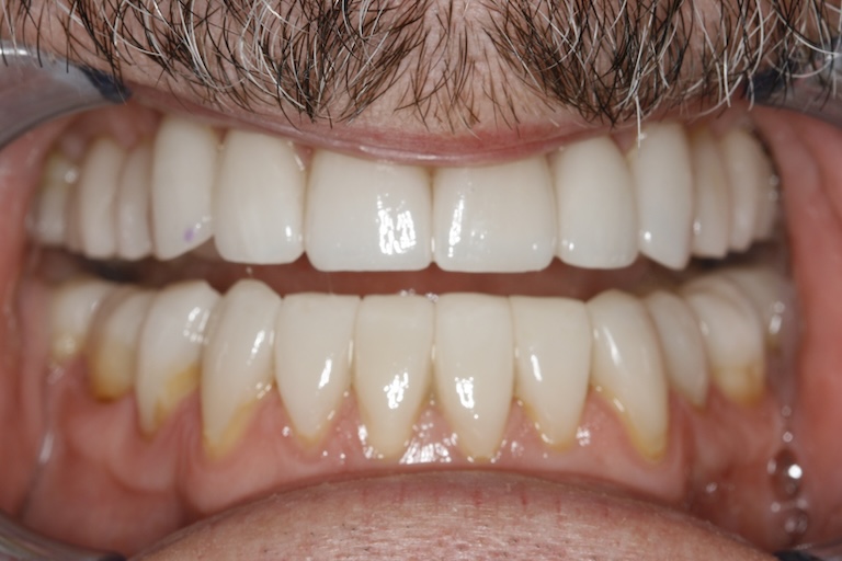
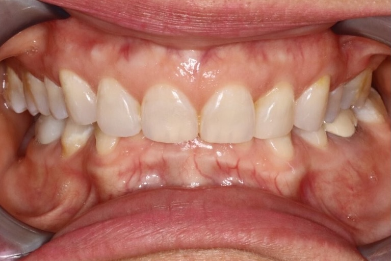
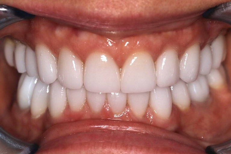
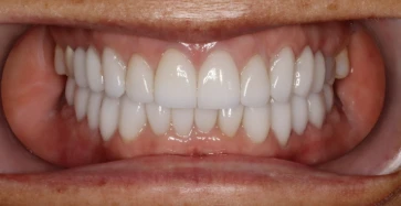
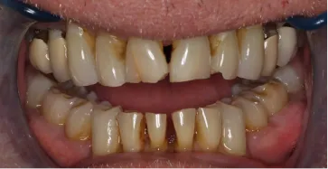
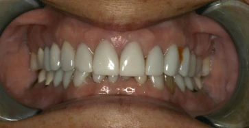
Before & After
View natural-looking cosmetic improvements and functional bite changes that support comfort and confidence.
Why Patients Choose Our Houston TMJ Specialist and Cosmetic Dentist?
“Our goal is to make a difference in your life”
Training and credentials:
Training and credentials:
Dr. Konig has advanced education in esthetics, occlusion, bite rehabilitation, and TMJ therapy. These credentials reflect focused study and a commitment to excellent outcomes.
Evidence-based planning:
Evidence-based planning:
We use detailed photos, bite analysis, and clear case reviews so your plan matches your goals and daily life.
Comfort and results:
Comfort and results:
Appointments are thoughtfully scheduled, and treatment is designed to look believable and feel comfortable long term.
Complete
care:
Complete
care:
From veneers and smile makeovers to nonsurgical TMJ therapies, you can complete your plan in one trusted Houston location.
Transparent guidance:
Transparent guidance:
You will understand options, sequence, and investment before care begins.
Recognized for our commitment to quality, skill, and patient-centered dentistry.



Schedule Your Appointment Today!
Call or request an appointment to meet with Dr. Konig. Whether you are searching for a TMJ specialist or cosmetic dentistry in Houston, TX, our team is here to help you feel and look your best.























