An overbite occurs when the upper teeth extend too far over the lower teeth, while an underbite happens when the lower teeth protrude beyond the upper teeth. These misalignments can impact facial symmetry, cause uneven tooth wear and contribute to jaw discomfort. Left untreated, they may lead to temporomandibular joint (TMJ) disorders and difficulties with chewing and speaking.
For patients seeking a nonsurgical solution to correct their bite and improve both function and aesthetics, Dr. Ronald Konig offers advanced treatment options tailored to your individual needs.
Causes of Overbites & Underbites
Bite misalignment often results from a combination of genetic and environmental factors. Some of the most common causes include:
- Genetics – The size and shape of the jaw are inherited, influencing the likelihood of developing an overbite or underbite.
- Childhood Habits – Thumb-sucking, prolonged pacifier use, and extended bottle feeding can affect jaw growth and alignment.
- Oral Habits – Tongue thrusting, improper chewing, and mouth breathing may contribute to bite irregularities.
- Trauma – Accidents or injuries can shift jaw positioning and lead to misalignment.
By identifying the underlying cause of your overbite or underbite, we can create a customized treatment plan to restore balance and improve function.
Did you know that overbites can cause worn teeth, TMJ and facial pain?


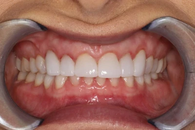
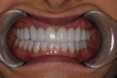
Non-surgical overbite correction on a patient with severe TMJ pain and unable to chew properly. Collapsed overbite wearing and damaging his teeth as well. Bite correction and alignment then restored teeth to correct physiologic position enhancing his smile and profile too.Patient is pain free and has beautiful natural smile.
Benefits of Nonsurgical Bite Correction
Traditional treatment for severe overbites and underbites often requires extensive orthodontic interventions or jaw surgery. However, modern advances in dental care have made it possible to correct these conditions without invasive procedures. Nonsurgical treatment options focus on achieving proper jaw alignment, enhancing facial aesthetics and alleviating jaw discomfort – all while preserving the natural structure of the teeth.
Some of the nonsurgical approaches we offer include:
- Clear Aligner Orthodontics – Clear aligners gradually reposition the teeth for improved bite alignment.
- Controlled Arch Orthodontics – Expands the upper jaw to create a more balanced bite.
- Splint Therapy – A custom-fitted oral appliance that stabilizes the jaw and reduces TMJ-related pain.
- Cosmetic Restorations – Porcelain crowns or veneers can reshape the teeth and enhance bite alignment.
- Myofunctional Therapy – Exercises to retrain oral muscles for better swallowing and tongue posture.
- Full-Mouth Reconstruction – A comprehensive approach that combines restorative and cosmetic treatments for optimal results.
Each treatment plan is designed to address the unique needs of the patient while avoiding discomfort and the extended recovery time associated with surgical procedures.
Health & Aesthetic Benefits of Bite Correction
Beyond improving the appearance of the smile, bite correction plays a vital role in long-term oral health. Correcting an overbite or underbite can:
- Reduce strain on the jaw joints and alleviate TMJ pain.
- Improve chewing efficiency and support better digestion.
- Enhance facial harmony and jawline definition.
- Minimize excessive tooth wear and protect enamel.
- Open the airway for better breathing and sleep quality.
For many patients, nonsurgical bite correction provides significant improvements in both confidence and overall wellbeing.
What to Expect During Treatment
The length of treatment varies based on the severity of the misalignment and the techniques used. Orthodontic solutions such as Invisalign® aligners may take 12 to 24 months, while cosmetic restorations and myofunctional therapy may yield faster results. During your consultation, our dentist will conduct a comprehensive evaluation and outline a treatment plan that best suits your needs.
Nonsurgical treatments involve minimal discomfort. Patients may experience mild pressure as their teeth and jaw adjust, but the process is far less invasive than surgical interventions.


Patient presented with TMJ pain, clicking and popping of her jaw joints, and flaring of the front teeth. She was unhappy with her profile and retruded chin as well. Rather than just do porcelain veneers which would not correct the TMJ issues or the lower 1/3 of the face and chin, Dr. Konig utilized bite management to realign the jaw, face, muscles and lower 1/3 of her face to the correct physiologic bite position resulting in a beautiful profile and no pain. No orthognathic surgery was needed.
Insurance & Financing Options
Insurance coverage for bite correction varies depending on whether the treatment is deemed medically necessary. If the condition contributes to TMJ dysfunction, speech difficulties or breathing concerns, insurance may provide partial coverage. Cosmetic corrections are typically considered elective and may not be covered.
Our team is committed to helping patients navigate their insurance benefits and explore financing options to ensure access to high-quality care.
Schedule Your Consultation
If you have an overbite or underbite and are looking for a nonsurgical solution to improve both function and aesthetics, we are here to help. Contact Konig Center for Cosmetic & Comprehensive Dentistry at 713-668-2289 today to schedule a consultation with our dentist, learn about nonsurgical bite correction options in Houston, Texas, and take the first step toward achieving a balanced, comfortable and confident smile.
Frequently Asked Questions
What is nonsurgical bite correction?
Nonsurgical bite correction involves using orthodontic treatments, dental appliances or restorations to realign your bite without surgery. This approach focuses on gently shifting teeth or improving jaw function through minimally invasive methods. It provides effective results with less discomfort and downtime compared to invasive procedures, making it a preferred choice for many patients.
How does bite misalignment affect oral health?
Bite misalignment can lead to various oral health issues, including uneven tooth wear, enamel erosion and increased susceptibility to cavities. Over time, misaligned bites can place stress on the jaw joints, contributing to TMJ disorders, headaches and muscle tension in the neck and shoulders. Addressing bite problems early helps prevent these complications and promotes long-term dental health.
What are the most common methods used for nonsurgical bite correction?
Nonsurgical bite correction typically involves orthodontic solutions such as braces or aligners, splint therapy and dental restorations like veneers or crowns. Palatal expanders may be used in younger patients to adjust jaw development. Some cases also benefit from myofunctional therapy, which retrains muscles to promote healthier tongue posture and improve bite alignment over time. Nonsurgical facelifts or full-mouth restoration may also be recommended.
What can I expect during the treatment process?
During your initial consultation, our dentist will evaluate your bite and create a personalized treatment plan. Depending on your specific needs, the process may involve orthodontics, dental appliances or restorative procedures. Most treatments take several months to a few years to complete, with regular checkups to monitor progress. After active treatment, a retainer may be required to maintain results.
What areas do you serve?
Dr. Konig provides nonsurgical bite correction in Houston, Texas, and to patients in the surrounding areas, including Sugar Land and The Woodlands, Texas, as well as Oklahoma and Louisiana. Reach out to our team today for more information and schedule your appointment!